- Work Hours : Mon to Sat : 09:30- 18:30
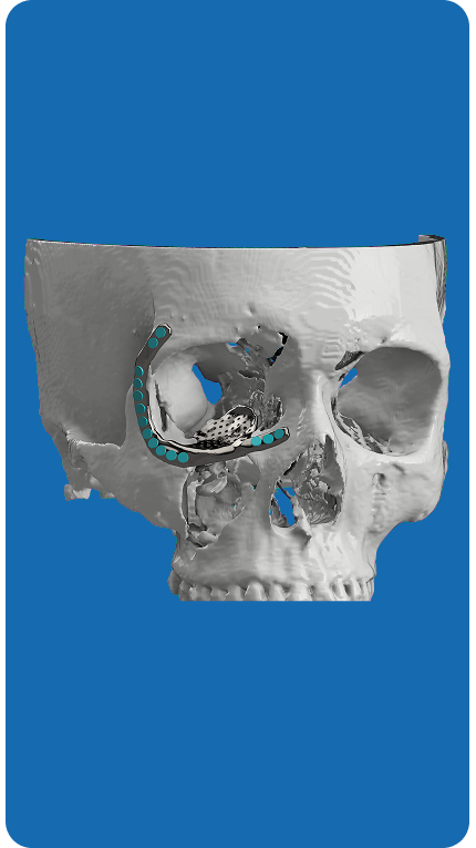
3D Printing in Orbital Reconstruction
- Designed by Zoriox Innovation Labs ,Marketed by Graft3D Healthcare Solutions
Overview
The orbital reconstruction is one of the most challenging areas in maxillofacial surgery because of its complex anatomy and location related to critical structures such as the globe and optic nerve. Functional recovery and aesthetic balance are important surgical aims. Conventional reconstruction using premade plates and meshes need much intraoperative bending and contouring, which results in inappropriate orbital volume restoration and asymmetry.
The practice of orbital reconstruction has been revolutionized with the advent of patient specific 3D-printed orbital implants. Individualized implants provide unparalleled accuracy, superior aesthetic results and reproducible outcomes. This has made 3D-printing a gold standard treatment in the field of orbital reconstruction.
Indications for Patient Specific Orbital Implants
- Orbital fractures: In cases of correction of the orbital floor defects, medial or lateral wall and blow-out fracture.
- Secondary deformity reduction: Treatment of enophthalmos, hypoglobus and asymmetry post healing of the fracture.
- Congenital craniofacial diseases: Orbital reconstruction in conditions like crouzon syndrome and treacher collins syndromes.
- Oncologic resection: Orbital volume restoration post tumor removal.
Role of 3D Printing in Orbital Reconstruction
- High resolution CT scanning provides an accurate three dimensional virtual model of the orbit.
- Digital reflection of the normal orbit assists in recreating anatomy.
- Custom design of the orbital implant makes possible reconstruction of the orbital floor, medial wall and lateral wall with accuracy.
- 3D printing creates implants of precise curvature, thickness, and contour to restore orbit volume accurately.
- 3D printing in orbital reconstruction provides more surgical precision with less operative time, better function and aesthetics.
Benefits of 3D Printing in Orbital Surgery
- Custom fit: Customized orbital implants accurately mimic the patient's orbital anatomy.
- Symmetry restoration: The globe and orbit are correctly balanced with digital mirroring.
- Reduced surgical time: No need for intraoperative bending or adjusting during the orbital surgery.
- Functional recovery : Useful for improving diplopia, enophthalmos and the malposition of the eye.
- Cosmetic results: Provides a natural, lifted appearance and facial symmetry.
Materials in 3D Printing Orbital Implants
Titanium 3D Printed Implants
- Useful in large or weight bearing orbital wall defects.
- Offer excellent strength, lasting durability and long term stability.
- The porous structure of the titanium promotes the integration of tissue and inhibits migration of the implant.
- Limitation: May produce imaging artifacts on CT/MRI.
Polyetheretherketone (PEEK) 3D Printed Implants
- Light, radio translucent and biomechanically resemble the bone.
- Ideal for cosmetically sensitive orbital reconstruction when postoperative imaging is essential.
- Concave-convex surface increases friction force for a perfect fit and natural shape.
- Limitations: Lower osseointegration than titanium implants.
Future Trends in Orbital Reconstruction with 3D Printing
- Hybrid orbital implants: Titanium mesh with PEEK for strength and aesthetics.
- AI and AR/VR Reinforcement: Real time surgery navigation and AI assisted surgical planning for precision.
- Bioactive scaffolds: Manufacturing of regenerating 3D printed orbital implants promotes faster bone healing and symmetry.
The 3D printing in orbital reconstruction has changed the paradigm in maxillofacial surgery. Custom orbital implants like titanium and PEEK are allowing surgeons to achieve more accurate, symmetric and superior patient outcomes. In the future, hybrid orbital implant designs, AI assisted surgical planning and regenerative biomaterials will further drive coordinating function competence with excellent cosmetic results in the orbital reconstruction.
1) What do orbital reconstruction services include for healthcare facilities?
Orbital reconstruction services support rebuilding the eye socket after trauma or deformity. They typically involve imaging, custom implant planning, and surgical guidance to restore anatomy, function, and facial symmetry.
2) How are 3D printed orbital implants different from standard implants?
3D printed orbital implants are tailored to a patient’s exact anatomy using medical imaging. Custom shapes improve fit and reduce intraoperative adjustments compared to off-the-shelf implants.
3) Why choose patient-specific orbital implants in complex cases?
Patient-specific orbital implants are designed from CT/CBCT scans, enabling exact replication of the orbital shape. This precision supports better aesthetic results, improves eye positioning, and reduces time in surgery.
4) What are custom orbital reconstruction solutions for surgeons?
Custom orbital reconstruction solutions combine imaging, digital design, and manufacturing to produce implants and planning models tailored to each case, helping surgeons rehearse and refine interventions before operating.
5) Where can hospitals find orbital reconstruction solutions?
Hospitals can partner with specialized medical 3D printing providers that offer end-to-end workflows—from scan conversion to implant design and delivery—ensuring reliable and clinically oriented reconstruction solutions.
6) How do 3D printed orbital implants support surgeons during procedures?
3D printed orbital implants support surgeons by providing an exact anatomical fit that minimizes intraoperative reshaping. Ready-designed components streamline surgical steps, reduce guesswork, and help achieve symmetry quickly.
7) What defines hospital-grade orbital reconstruction implants?
Hospital-grade orbital reconstruction implants meet quality standards for biocompatibility, sterilization, and accuracy. They are produced with validated processes and documentation suitable for clinical use in surgical workflows.
8) What are B2B orbital implant manufacturing services?
B2B orbital implant manufacturing services serve hospitals, clinics, and surgical teams by producing custom implants and planning models at scale, ensuring consistent quality, traceability, and support for complex orbital cases.
9) Why is an orbital reconstruction partner important for healthcare facilities?
An orbital reconstruction partner helps healthcare facilities integrate imaging workflows, surgical planning, and reliable implant production. They provide technical expertise, quality control, and collaboration with surgical teams.
10) How are 3D printed orbital reconstruction models used in clinical practice?
3D printed orbital reconstruction models allow care teams to visualize defect geometry, rehearse surgical steps, and educate patients. They improve understanding of spatial relationships before operating on delicate orbital anatomy.