- Work Hours : Mon to Sat : 09:30- 18:30
3D Printing in the Management of Facial Deformities
- Designed by Zoriox Innovation Labs ,Marketed by Graft3D Healthcare Solutions
Overview
The craniofacial skeleton is a complex structure necessary for both aesthetic and functional aspects. Its optimal reconstruction in cases of deformities requires meticulous planning of surgical procedures. Facial deformities can be caused by numerous causes, each of which necessitates individual approach for correction. Common causes include:
- Congenital anomalies such as craniofacial microsomia, cleft lip and palate or syndromic craniofacial dysplasias.
- Post traumatic deformities as a result of malunited fractures, bone loss and soft tissue and hard tissue deficiencies.
- Facial deformities such as craniofacial developmental or acquired anomalies involving growth disturbances, tumor and defects after surgical removal.
Role of Virtual Surgical Planning (VSP)
With the development of high-definition CT scans, the craniofacial skeleton can be evaluated in three dimensions. Use of virtual surgical planning in craniofacial reconstruction offers the following abilities for surgeons:
- Describe the precise location and boundaries of facial deformity.
- Perform virtual cuts in the upper jaw, lower jaw, cheekbone and orbital walls.
- Digitally move bony segments to optimize facial symmetry and occlusion.
- Predict soft-tissue changes associated with bony movements.
Integration of 3D Printing Technology
When the surgical plan is confirmed, 3D printing in maxillofacial surgery transforms the virtual plan into physical tools and models :
- Preoperative simulation and osteotomy rehearsal can be done using 3D printed anatomical models.
- Tailored osteotomy guides and cutting guides bring the VSP to reality in theatre with great accuracy.
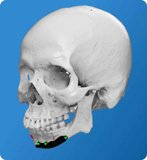
- Patient specific implants (PSI) made of titanium can be used to reconstruct a volume deficient bone. Stabilized reconstruction is done without the need of intraoperative adjustments.
Advantages of 3D Printing and VSP Assisted Facial Reconstruction
Improved Precision:
- Easy transfer of the digital planning to the surgical plan
Time Efficiency:
- Prefabricated guides and implants allow shortened operating time.
Strong Predictability:
- Outcomes are reliable, consistent with low minimal improvisation.
Superior Outcomes:
- Restoration of symmetry, function and aesthetics at higher level of care.
Clinical Applications
Orthognathic Surgery of Maxillomandibular Discrepancies:
- Corrects skeletal malocclusion, jaw asymmetry, and disproportional maxillomandibular relationships.
Orbital Reconstruction in Congenital Anomalies:
- Reconstruction of orbital walls in cases of congenital anomalies, blow-out fractures, or post-oncologic resections.
Correction of Zygomatic and Frontal Bone Asymmetries:
- Correction of zygomatic bone malunions, frontal bone fractures, midface hypoplasia, or defects after trauma and tumor resections.
Cranial Vault Remodeling:
- Surgical correction of premature fusion of cranial sutures in infants and children.
Post Oncologic Resection:
- Reconstruction of bone and soft-tissue defects following resection of craniofacial tumors.
The combination of 3D printing and virtual surgical planning (VSP) has revolutionized the treatment of complex craniofacial malformations. This novel technique enables surgeons to perform osseous osteotomies and reconstructions with more accuracy, less surgical time, and better functionally aesthetic results. By bridging the planning-execution gap, 3D printing in maxillofacial and craniofacial surgery has set a new standard for personalized patient care.
FAQs
What is facial deformity correction and when is it required?
Facial deformity correction involves restoring facial structure, symmetry, and function affected by congenital conditions, trauma, developmental abnormalities, or previous surgeries. The goal is to achieve both functional improvement and aesthetic balance.
How does digital planning support correction of facial deformity?
Digital planning uses medical imaging to create accurate 3D models of the facial skeleton, allowing surgeons to analyze asymmetry, plan osteotomies, and simulate outcomes before surgery for improved precision.
What role does 3D printing play in facial deformity correction?
3D printing for facial deformities enables the creation of patient-specific anatomical models, guides, and implants that help translate virtual planning into accurate surgical execution.
Who is a suitable candidate for facial deformity correction?
Patients with congenital facial deformities, post-traumatic asymmetry, developmental skeletal discrepancies, or deformities resulting from tumour resection may benefit from a digitally planned corrective approach.
How does 3D printing improve surgical accuracy in facial deformities?
By using 3D printed facial deformity models and guides, surgeons can better visualize complex anatomy, reduce intraoperative guesswork, and achieve more predictable alignment and symmetry.
Can facial deformity correction improve both function and appearance?
Yes, facial deformity correction focuses on restoring essential functions such as chewing, breathing, and speech, while also improving facial harmony and patient confidence.
How do digitally planned facial deformity solutions benefit hospitals and clinics?
These solutions support standardized workflows, reduce operative time, and enhance communication between surgical teams, making them valuable for hospitals managing complex facial deformity cases.
What should patients expect during the facial deformity correction process?
Patients typically undergo imaging, virtual planning, and a customized surgical approach. This structured process helps improve surgical predictability, recovery planning, and overall treatment outcomes.