- Work Hours : Mon to Sat : 09:30- 18:30
Patient Specific Implants For Atrophic Maxilla and Mandible
Overview
Restoration of the anatomical and morphological function in the maxilla and mandible can be complicated, in cases of severe bone resorption. In such cases, traditional reconstruction methods do not work well, requiring extensive adjustments during surgery, increasing surgical time, and resulting in less predictable outcomes. Recently, patient-specific implants (PSIs) have become a benchmark solution for resection of maxilla and mandible by harnessing cutting edge digital planning and advanced manufacturing.
Digital and Manufacturing
Technologies Used
- Preoperative Planning Tools: Advanced imaging (CT) and digital implant planning software are used for anatomical assessment and surgical simulation.
- 3D Printing Devices: Used to produce patient specific guides and implants based on digital designs from anatomical segmentation.
- CAD/CAM Software: Computer-aided design and manufacturing platforms for implant customization and guide fabrication.
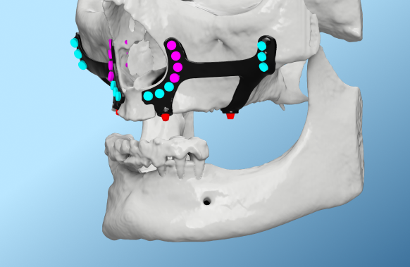
Armamentarium for Patient Specific Implants
- Surgical & Osteotomy Instruments: Includes scalpels, periosteal elevators, retractors, osteotomes, piezosurgery units, saws, burs, and bone files required to access, mobilize, and shape the maxilla or mandible safely.
- PSI Placement & Fixation Tools: Custom cutting/drilling guides, patient-specific plates or meshes, drills with depth control, torque-limiting drivers, and a range of monocortical and bicortical screws for rigid fixation.
Advantages of PSIs Over Traditional Methods
Exceptional Accuracy
PSIs enable precise transfer of the virtual surgical plan to the patient, achieving minimal deviations as low as 0.3 mm in vertical/transverse dimensions and 0.7 mm anteroposteriorly.
Surgical Efficiency
3D Implant designs and cutting guides streamline the intraoperative process, reducing operative time and complexity.
Increased Fixation
Rigidity & Stability
Custom titanium plates are thicker and better adapted to optimal bone areas, offering stronger biomechanical resistance.
Enhanced Functional
and Aesthetic Outcomes
Patient specific implants enhance speech clarity and swallowing function by providing proper support for phonation and deglutition needs. It ensures that the maxillofacial skeleton is positioned correctly, improving patient satisfaction.
Better Adaptation in
Defect Reconstruction
The implant designs can be customized for individuals who have undergone tumor removal, radiation therapy, or sustained tissue scarring, enabling highly accurate fitting with improved cosmetic and functional outcomes.
Reduced Donor Site Morbidity
Patient specific implants eliminate the need for tissue grafts or free flap procedures, thereby minimizing the risk of complications at donor sites and improving overall patient outcomes.
Possible Complications
- Common complication, post treatment includes soft tissue inflammation around the implants leading to bone loss.
- Other complications include hygiene problems, bleeding, infection and delayed wound healing.
- High masticatory load can reduce the durability of the implants.
1) What are patient specific implants and why are they important in surgery?
Patient specific implants are custom‑designed devices tailored to an individual’s unique anatomy. They improve fit, reduce surgery time, and enhance functional outcomes compared to generic off‑the‑shelf implants.
2) How does PSI 3D printing India help hospitals and clinics?
PSI 3D printing India enables local fabrication of patient personalized implants with faster turnaround times and quality control. It supports surgeons with precise geometry matched to CT/MRI data, improving planning and clinical outcomes.
3) What are custom 3D printed implants used for in medical care?
Custom 3D printed implants are used to replace or reinforce bone and tissue structures based on individual scan data. They help restore function and symmetry in trauma, tumour resection, or congenital deformity cases.
4) How are maxillofacial implants 3D printed for complex facial reconstruction?
Maxillofacial implants 3D printed start with CT/CBCT data that’s converted into a 3D design. Engineers and surgeons collaborate on geometry before printing, ensuring implants fit the patient’s facial skeleton accurately for reconstruction.
5) What is a mandible reconstruction implant 3D print and when is it needed?
A mandible reconstruction implant 3D print replaces or supports the jawbone after trauma, resection, or disease. By matching individual bone anatomy, it improves chewing function and facial contour compared to generic plates.
6) Can a patient specific orthopedic implant improve recovery compared to standard implants?
Yes patient specific orthopedic implants are designed to match bone geometry precisely, reducing gaps and stress points. This improved fit can enhance stability, reduce complications, and support faster recovery over traditional implants.