
Call us now
Email Us at
[email protected]
Designed by Zoriox Innovation Labs ,Marketed by Graft3D Healthcare Solutions
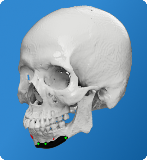
The use of medical 3D printing is a revolutionary advance for craniofacial and facial surgeons. Accurate 3D models can be produced from patient's anatomical data resulting in tools to perform reconstruction, restore function, improve aesthetics, pre-operative surgical assessment and anatomical model reproduction to simulate the procedures.


Virtual surgical planning (VSP) leads to accurate 3D printing for surgeons. This results in more precise outcome for the facial deformity reconstruction. Virtual surgical planning starts with patient's CT/MRI data and involves digital segmentation to enhance planning accuracy.
Using 3D images from various modalities such as CT, MR and PET data, 3D printing processes can convert this into high-quality anatomical virtual and printed medical models for surgical planning and research.


Superior accuracy in fitting and reconstruction.
Reduced surgical operation time and faster healing.
Leads towards better vision on the final outcome.
Tailored products to suit unique anatomical shapes.

