
Revolutionizing Craniofacial Reconstruction with Advanced 3D Printing Filaments
Precision. Performance. Biocompatibility.
Call us now
Email Us at
[email protected]
Precision. Performance. Biocompatibility.
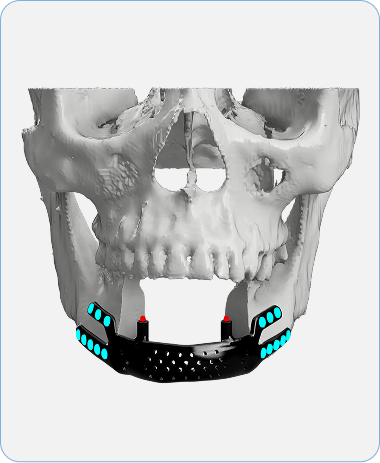
At Graft 3D, we're transforming the future of craniofacial and orthopedic reconstruction through high performance 3D printing filaments engineered for safety, strength, and seamless biological integration.
Our medical grade polymers, Polyether Ether Ketone (PEEK), Polycarbonate (PC), and Polymethyl Methacrylate (PMMA) are optimized for additive manufacturing in surgical applications, helping create patient specific implants that combine durability with precision.
Next-Generation 3D Printing Materials for Medical Applications

PEEK (Polyether Ether Ketone)
Biocompatible & Radiolucent
Superior Strength-to-Weight Ratio

PMMA (Polymethyl Methacrylate)
Excellent Biocompatibility
Customization & Aesthetic Advantage
Why Choose Graft 3D for
Medical 3D Printing Materials?
- Medical grade polymers designed for additive manufacturing
- Regulatory compliant materials with validated biocompatibility
- Custom implant fabrication for research, prototyping, and clinical use
- End to end support from digital design to 3D printing and final delivery
- Trusted by surgeons, engineers, and research institutions across India


PU (Polyurethane)
Impact Resistant & Transparent
Thermally Stable
Clinical Applications
Our materials are engineered for

Craniofacial Reconstruction And Maxillofacial Surgery

Orthopedic Implants & Fixation Devices

Custom Prosthetics And Anatomical Models

Surgical Planning And Educational Simulation
From Digital Design to Clinical Precision
Partner with India's Trusted Experts in Medical 3D Printing. Bring precision healthcare to life with Graft 3D. We provide personalized technical support throughout the entire surgical workflow.

Segmentation & Design Simulation

Custom Filament Preparation

3D Printing & Quality Control

