Patient Specific Implants For Atrophic Maxilla and Mandible
Custom-designed 3D printed solutions using CT-based virtual planning, CAD/CAM and advanced manufacturing for severely resorbed jaws.
Call us now
Email Us at

Overview
Restoration of anatomical form and function in severely resorbed maxilla and mandible is challenging. Traditional grafting and plate-bending techniques often require extensive intraoperative adjustment, prolong surgery time and may lead to less predictable outcomes.
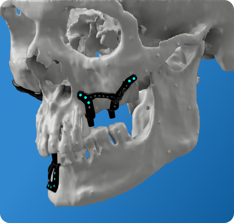
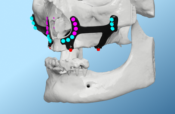
Patient specific implants (PSIs) use CT/CBCT-based virtual planning, CAD/CAM and 3D printing to create custom subperiosteal or framework implants that adapt precisely to the residual bone. This enables accurate transfer of the digital plan to the patient, improving stability, function and aesthetics in a single, well-controlled procedure.


Digital and Manufacturing Technologies Used
- Preoperative Planning Tools: Advanced imaging (CT/CBCT) and digital implant planning software for anatomical assessment and surgical simulation.
- 3D Printing Devices: Used to manufacture patient-specific guides and implants directly from segmented anatomical data.
- CAD/CAM Software: Computer‑aided design and manufacturing platforms for implant customization and precise guide fabrication.

Armamentarium for Patient Specific Implants
- Surgical & Osteotomy Instruments: Scalpels, elevators, retractors, osteotomes, piezosurgery units, saws, burs and bone files for safe access and mobilisation.
- PSI Placement & Fixation Tools: Custom cutting/drilling guides, patient‑specific plates or meshes, drills with depth control, torque‑limiting drivers and a range of monocortical and bicortical screws for rigid fixation.
Advantages of PSIs Over Traditional Methods

Exceptional Accuracy
PSIs enable highly precise transfer of the virtual surgical plan to the patient, with minimal deviation in vertical, transverse and anteroposterior dimensions.

Surgical Efficiency
Pre-planned, custom-fit implants and guides streamline the procedure, reducing intraoperative adjustments, overall surgery time and fatigue.

Rigid Fixation & Stability
Custom titanium frameworks are adapted to optimal bone regions, allowing multi-point cortical fixation and improved load distribution.

Enhanced Functional & Aesthetic Outcomes
Accurate three‑dimensional reconstruction supports improved speech, swallowing and facial form, resulting in higher long‑term patient satisfaction.

Better Adaptation in Defect Reconstruction
Implant designs can be tailored for defects after tumour resection, radiation or scarring, ensuring intimate fit and stable prosthetic support.

Reduced Donor Site Morbidity
By avoiding extensive grafting and flap harvest in selected cases, PSIs help minimise donor-site complications and shorten overall rehabilitation.

Possible Complications
- Soft tissue inflammation around the implant can occur, potentially leading to marginal bone loss if not managed with good hygiene and follow‑up.
- Other reported issues include local discomfort, bleeding, infection and delayed wound healing in medically compromised cases.
- High masticatory loads and unfavourable occlusion may reduce long‑term durability if the prosthetic plan is not carefully balanced.
FAQs

Contact Us & Get details for
Reconstruction of the
Maxilla and Mandible
with Immediate Fibula
Free Flap and 3D Printing Technology
